ComunidadLo último

La Inteligencia Artificial podría ayudar a detectar el cáncer de mama

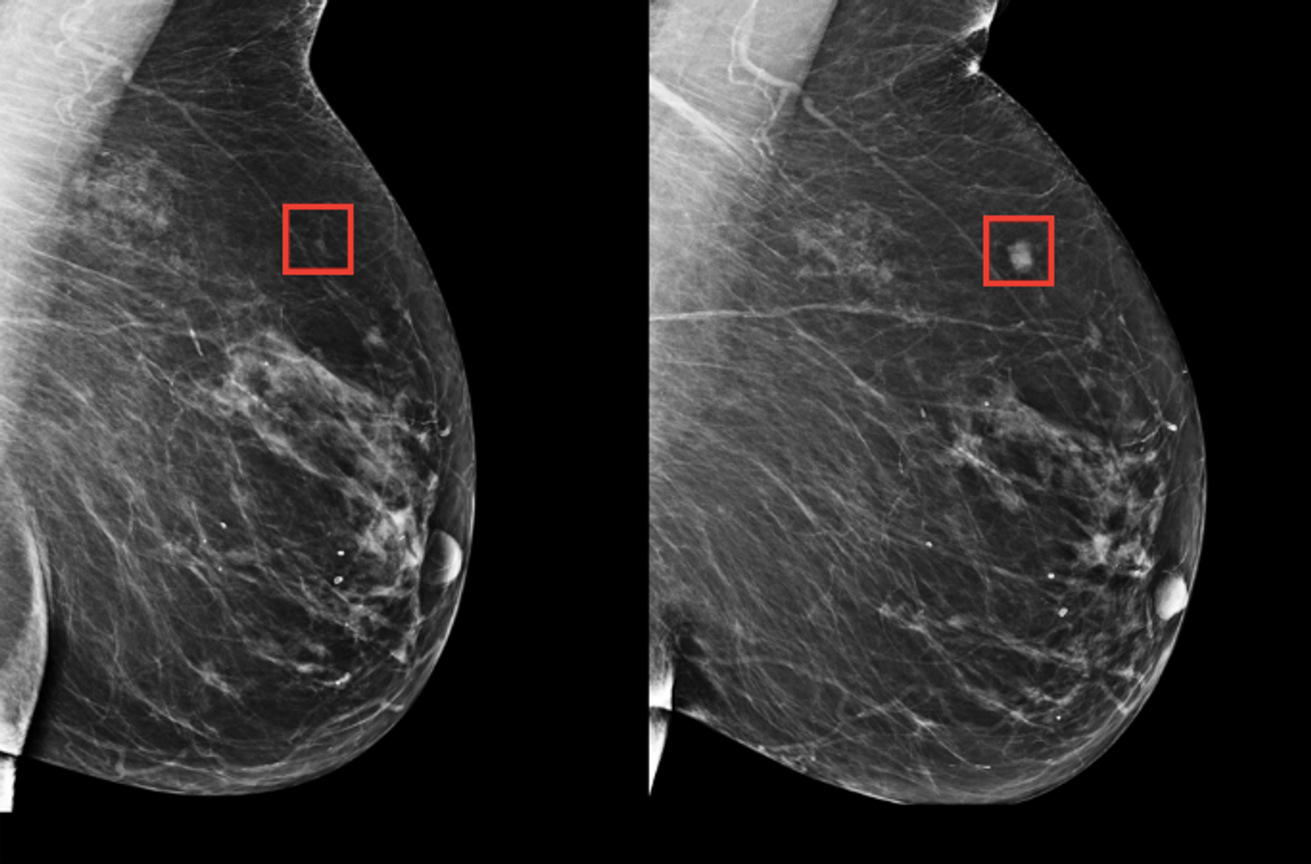
Un programa de Inteligencia Artificial (IA) parece capaz de reducir la carga de trabajo de los radiólogos en la detección del cáncer de mama, según los primeros datos de un estudio publicado el miércoles, aunque es demasiado pronto para concluir sobre su eficacia.

Realizado en Suecia y publicado en The Lancet Oncology, este estudio concluye también que no hay riesgo de que los radiólogos utilicen software de inteligencia artificial (IA) para orientar mejor sus análisis.

Los investigadores dividieron a unas 80.000 mujeres en dos grupos de tamaño similar.

Todas ellas realizaron una mamografía, pero el primer grupo se cribó de forma convencional, es decir con la mirada de dos radiólogos independientes, mientras que los datos del segundo fueron examinados primero por una IA y luego por un solo radiólogo.

El grupo asistido por la IA no registró peores resultados e incluso se detectó un número un poco más elevado de cánceres.

Fuente: AFP

Noticias Relacionadas
InternacionalLo último

Israel lanza un ataque aéreo en Catar contra los dirigentes de Hamás

Israel lanzó este martes un ataque aéreo con misiles contra líderes del movimiento palestino…
Ver más
Comunidad

Un nuevo sismo se reportó esta mañana en la provincia de Manabí

En la provincia de Manabí se reportó un nuevo la mañana de este martes 9 de septiembre de 2025…
Ver más
InternacionalLo último

Estallan protestas en Nepal: Parlamento incendiado, 19 muertos y renuncia del primer ministro

El Parlamento de Nepal fue incendiado este martes 9 de septiembre en Katmandú por cientos de…
Ver más
Lo últimoNoticias

Caso Comandos de la Frontera: Ejecutan megaoperativo por presunto lavado de activos en 62 puntos del país

La Fiscalía General del Estado, en coordinación con la Policía Nacional, ejecuta un operativo…
Ver más
Comunidad

Ecuador vs. Argentina: estos son los cierres viales en los alrededores del estadio Monumental

La Agencia de Tránsito y Movilidad de Guayaquil (ATM) dio a conocer los cierres y desvíos que se…
Ver más