Ciencia y tecnología

Lucas, el niño que desafió al cáncer cerebral terminal

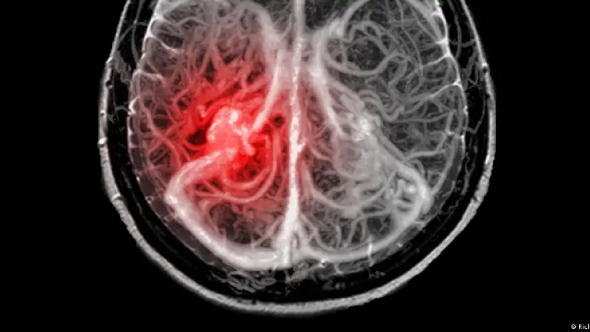
Un niño belga llamado Lucas, de 13 años, desafía las probabilidades al vencer un glioma en el tronco cerebral, un cáncer cerebral pediátrico altamente letal. Diagnosticado a los 6 años, se considera ahora curado, sin signos del tumor, ofreciendo esperanza a los científicos franceses.

El centro Gustave-Roussy en París, bajo la dirección del médico Jacques Grill, piloto del programa sobre tumores cerebrales, llevó a cabo un tratamiento innovador en Lucas. A pesar de ser inoperable, respondió excepcionalmente bien a una terapia dirigida en un ensayo clínico pionero.

«No conozco en el mundo ningún caso como el suyo», asegura el médico, cuyo equipo comenzó a investigar sobre este cáncer hace unos 15 años.

La mutación única en el tumor de Lucas, identificada por el equipo médico, lo hizo extraordinariamente sensible al tratamiento. Ahora, los científicos buscan reproducir estas alteraciones en otras células tumorales para explorar nuevas terapias efectivas contra este tipo de cáncer infantil.

Este caso ofrece una luz de esperanza en la lucha contra los cánceres cerebrales pediátricos, desafiando los pronósticos sombríos y abriendo el camino hacia tratamientos más efectivos y personalizados para los pacientes afectados.

Noticias Relacionadas
Ciencia y tecnología

¿Por qué no es recomendable colocar imanes en el refrigerador?

Decorar la puerta del refrigerador con imanes se ha vuelto una práctica habitual en muchos hogares.
Ver más
Ciencia y tecnología

Científicos inician pruebas de una píldora para alargar la vida de los perros

Dos grandes ensayos clínicos en Estados Unidos están probando fármacos diseñados para retrasar…
Ver más
Ciencia y tecnología

Estos son los hábitos diarios que afectan la memoria sin que la mayoría lo note

Varios hábitos comunes en la vida moderna están afectando la salud de nuestro cerebro y la memoria…
Ver más
Ciencia y tecnología

Tirar sal y bicarbonato de sodio al inodoro: el truco casero que sorprende por sus resultados

Cada vez más hogares optan por soluciones naturales para la limpieza del baño. Uno de los trucos…
Ver más
Ciencia y tecnología

El insomnio y el hábito nocturno que impide volver a dormir

El insomnio es uno de los trastornos del sueño más frecuentes en la actualidad. Se caracteriza por…
Ver más
Entretenimiento

¿Qué es la disgeusia? La enfermedad que padece Thalía

Esto te puede interesar